Bayside Smiles
A Great Dentist
We wish you a joyful holiday season! We have updated our holiday hours with emergency appointments available on specified days. 
Click here for more info.

Orthodontic Treatment with Invisalign

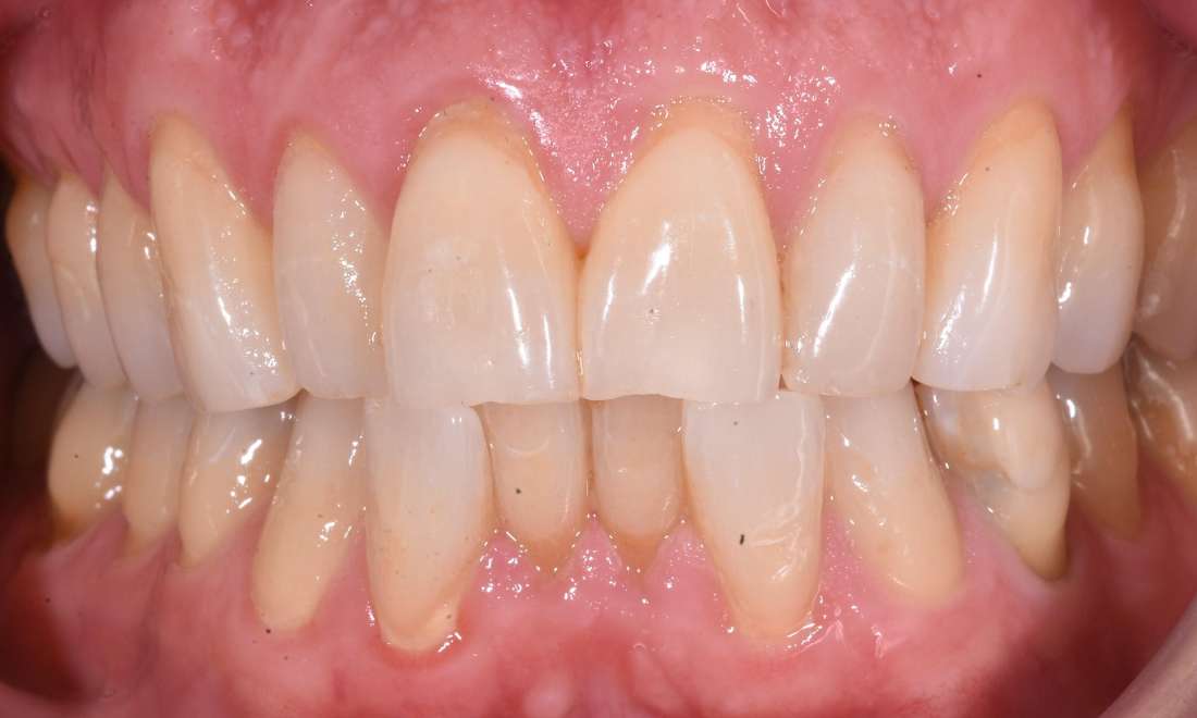
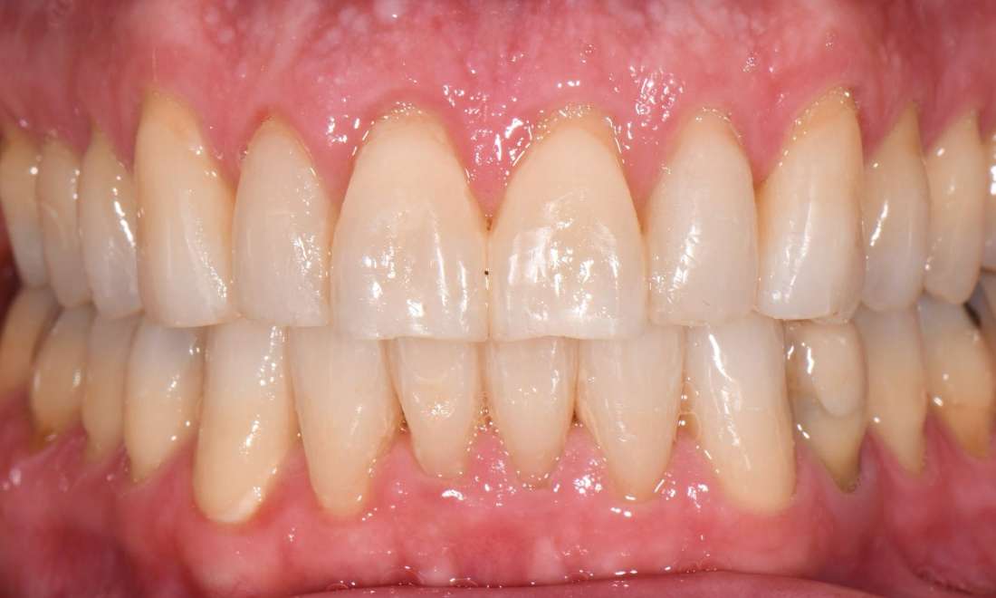
Patient was unhappy with crooked lower alignment. Invisalign treatment over an 11-month period, patient was happy with the result.

Service Performed By:

Dr Michael Letham
Improve your smile today – call to schedule a consultation!
Any surgical or invasive procedure carries risks, and we recommend seeking a second opinion from an appropriately qualified health practitioner before proceeding.
All surgical or invasive procedures carry risks. Before proceeding, you should seek a second opinion from an appropriately qualified health practitioner. The information throughout this site is not intended to be taken as medical advice.
Any surgical or invasive procedure carries risks. Before proceeding, you should seek a second opinion from an appropriately qualified health practitioner.